矯正治療について
矯正歯科とは、うまく噛めないなど機能的に問題のある歯並びを機能良く整った歯並びに治し、その結果美しい横顔をもたらす治療のことです
矯正治療の流れ

矯正治療に関するカウンセリング、簡単な口腔内診査の後に、治療方針・矯正装置・矯正費用・矯正期間などについて、おおまかにご説明いたします。当院では、豊富な矯正治療例の中から実際の治療例を見ていただきながらご説明しております
↓
②精密検査
実際の治療方針を決定するために、現在の歯並びや顎の骨の状態などを詳しくチェックいたします。口腔内診査・口腔内写真・歯型のかたどり・レントゲン写真等の精密検査を行います
↓
③診断
精密検査の結果を分析し、患者様に最適な矯正治療方針を決定。使用する矯正装置・治療期間・矯正料金などについて詳しくご説明いたします
↓
④矯正治療
歯に矯正装置を装着して、ここから治療が始まります。患者様に最適な完全オーダーメイドの矯正治療方法・矯正装置で治療を開始します
↓
⑤保定期間
移動を終えた後もしばらくの間、歯は元に戻ろうとする性質があります。そこで、食事の時などには取り外すことができる保定装置を使い、移動した歯をしっかり安定させます。その間に3~6ヵ月に1回程度、およそ2年間の通院をおすすめしています
矯正治療のリスク・副作用
矯正治療のリスク・副作用
① 矯正装置によりやや喋りづらい場合があります
② 矯正装置により歯などに力がかかるので最初は不快感、痛み等があります。(数日間~1、2 週間で慣れることが多いです)
③ 歯の動き方には個人差があります。その為予想された治療期間が延びる可能性があります。(患者様の矯正装置や顎間ゴムの適切使用及び定期的な通院等、矯正治療には患者様の協力が非常に重要であり、それらが治療期間や治療結果に影響します)
④ 治療中は、装置が口腔内に付いている為ハミガキがしにくくなります。その為むし歯や歯周病のリスクが高まりますので、丁寧に磨いたり、定期的なメンテナンスを受けたりすることが重要です。(歯が動くと隠れていたむし歯が見えるようになることもあります)
⑤ 歯が動くことにより歯根が吸収して短くなることがあります。また、歯ぐきがやせて下がることがあります
⑥ 極稀に歯が骨と癒着していて歯が動かないことがあります
⑦ 極稀に歯を動かすことで神経が障害を受けて壊死することがあります
⑧ 治療途中に金属等のアレルギー症状が出ることがあります
⑨ 治療中に「顎関節で音が鳴る、あごが痛い、口が開けにくい」などの顎関節症状が出ることがあります
⑩ 様々な問題や事情により、当初予定した治療計画を変更する場合があります
⑪ 歯の形を修正したり、咬み合わせの微調整を行ったりする可能性があります
⑫ 矯正装置を誤飲する可能性があります
⑬ 装置を外す時に、エナメル質に微小な亀裂が入る可能性や、かぶせ物(補綴物)の一部が破損する可能性があります
⑭ 装置が外れた後、保定装置を指示通り使用しないと後戻りが生じる可能性が高くなります
⑮ 装置が外れた後、現在の咬み合わせに合った状態のかぶせ物(補綴物)やむし歯の治療(修復物)などをやりなおす可能性があります
⑯ あごの成長発育により咬み合わせや歯並びが変化する可能性があります
⑰ 治療後に親知らずが生えて凸凹が生じる可能性があります。また、加齢や歯周病等により歯を支えている骨がやせると咬み合わせや歯並びが変化することがあります。その場合、再治療等が必要になることがあります
⑱ 矯正歯科治療は、開始すると元の状態に戻すことは難しくなります
矯正治療の症例
矯正治療の代表的な症例をいくつか紹介します(R4年現在)
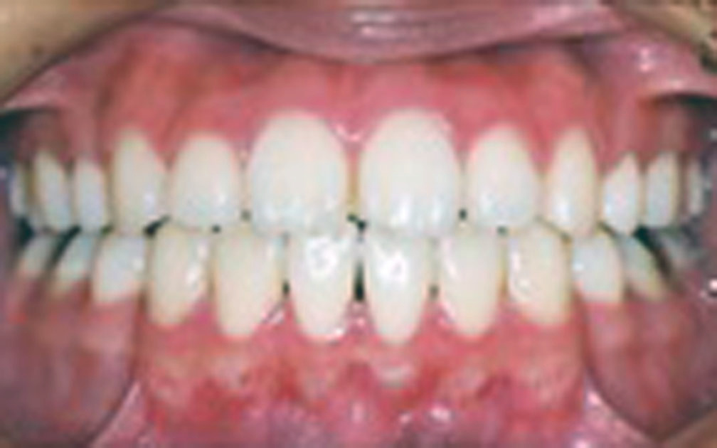
矯正の症例1 (診断名)上顎前突(ジョウガクゼントツ)



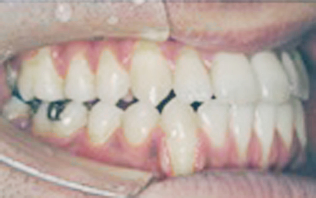
矯正の症例2 (診断名)下顎前突(カガクゼントツ)
(患者様の主訴)受け口が気になる
(治療開始年齢)7歳11カ月
(主な治療装置)リンガルアーチ
(抜歯部位)非抜歯
(治療期間)5カ月
(治療費)¥290000
(個別リスク・副作用)上顎前歯部を前方(唇側)に傾斜させるため、下顎の前歯部からの突き上げがあり、歯根が吸収するリスクがあります。
思春期性成長のためにまた反対咬合になる可能性があります。そのため長期にわたり成長を観察する必要があります



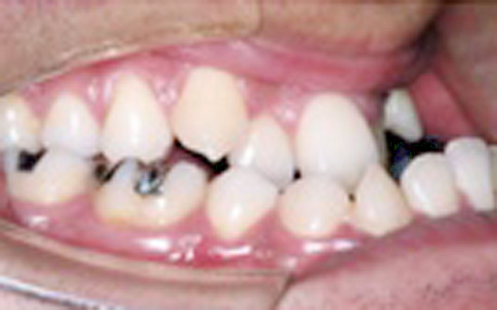
矯正の症例3 (診断名)叢生(ソウセイ)
(患者様の主訴)八重歯が気になる
(治療開始年齢)23歳4カ月
(主な治療装置)エッジワイズアプライアンス
(抜歯部位)上下第1小臼歯4本抜歯
(治療期間)1年10カ月
(治療費)¥805000
(個別リスク・副作用)叢生が著しいため動的治療後長期にわたる保定が必要となる。
歯牙の移動量が大きいため歯根が短根になるリスクがある。
叢生が改善されるまで、ブラッシングがしにくい状態が続くために齲蝕になるリスクがある



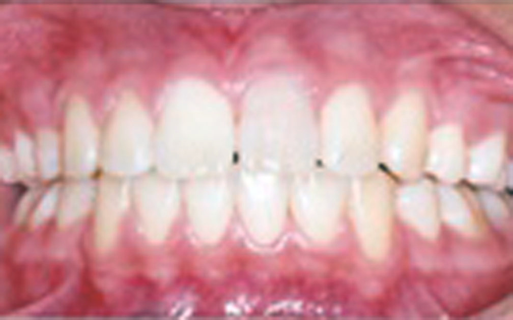
矯正の症例4 (診断名)開咬(カイコウ)
(患者様の主訴)前歯で噛めない
(治療開始年齢)15歳9カ月
(主な治療装置)エッジワイズアプライアンス
(抜歯部位)上下第1小臼歯4本抜歯
(治療期間)2年5カ月
(治療費)¥860000
(個別リスク・副作用)当初より前歯部歯根が短く、前歯部の挺出が必要な症例なので、さらに歯根が短くなるリスクがある。
舌の突出の影響が大きいため、矯正治療後も舌癖により後戻りが起こるリスクがある。長期にわたる舌癖のコントロールが必要となる



矯正の症例5 (診断名)下顎前突(カガクゼントツ)(外科的矯正有)
(患者様の主訴)前歯で噛めない
(治療開始年齢)28歳0カ月
(主な治療装置)エッジワイズアプライアンス 外科的矯正治療
(抜歯部位)非抜歯
(治療期間)4年7カ月
(治療費)¥266990
(個別リスク・副作用)外科的矯正治療で長期にわたりブラケットを装着しているため齲蝕になるリスクがある。
初診時より低位舌が強いため、矯正治療後に下顎が広がりやすく安定したかみ合わせを得にくいというリスクがある。そのため治療後下顎の幅が広がらないように長期にわたり保定装置を装着する必要がある


